Application
Industry News
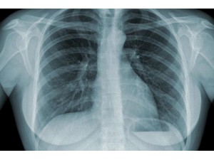
Why do you have to drink barium sulfate before a CT scan?
Views: 504 Oct,28,2024
Drinking barium sulfate before a CT scan is typically done to enhance the visibility of certain areas of the gastrointestinal (GI) tract.
Read More
What are the benefits of titanium dioxide?
Views: 598 Oct,21,2024
Titanium dioxide (TiO₂) is a versatile and widely used compound with a variety of benefits across different industries.
Read More
Is titanium dioxide safe for the human body?
Views: 413 Oct,17,2024
Titanium dioxide (TiO2) has been widely used in various products, but its safety for human consumption and use has been a topic of ongoing research and debate
Read More
Which is the best titanium dioxide?
Views: 571 Oct,15,2024
When it comes to titanium dioxide, there isn't necessarily a single "best" option as the ideal choice can depend on the specific application and requirements.
Read More
Who Produces the Most Titanium Dioxide?
Views: 453 Oct,12,2024
When it comes to titanium dioxide suppliers, a handful of companies dominate the global market.
Read More
Barium Sulphate in Paints and Coatings
Views: 506 Oct,10,2024
Barium sulphate powder is used in paints and coatings as a functional filler, which plays an important role in improving the mechanical properties of the coating film in many ways including surface hardness, abrasion resistance, impact resistance, heat resistance, weather resistance, etc.
Read More










